作者: 佚名 2021年04月21日
舒缓,在《化妆品分类规则和分类目录》中的释义是:有助于改善皮肤刺激等状态。皮肤受到刺激后若表现出高反应状态,即刺痛、灼热等主观症状或出现红斑、毛细血管扩张等客观体征,则极有可能为敏感性皮肤。
One
功效型护肤品与敏感肌护理产品
针对敏感皮肤许多公司推出了“药妆”,但在国内,法律意义上并没有“药妆”这个概念,药妆更确切来说,是指功效型护肤品(指具备能够改变皮肤结构的特殊功效的护肤品),其中有一部分为敏感肌适用,兼具安全性与功效性,称作敏感肌护理类产品,也叫作皮肤学级产品。
而据欧睿国际数据显示,2014年-2019年,皮肤学级护肤品市场年均复合增长率达到23.2%。2019年时,中国皮肤学级护肤品市场规模为332亿元,占整体护肤品市场的13.6%,预计到2024年市场规模将达1010亿元,占整体护肤品市场的22.9%。一方面,环境变差、生活压力变大和不当的护肤习惯,会导致皮肤敏感发生的情况越来越多,另一方面,随着人们收入和教育水平的提升,对护肤逐渐重视,针对皮肤敏感时期护理产品的市场规模也会逐渐增大。
Two
皮肤敏感发生原因
皮肤敏感的发生是一种涉及皮肤屏障-皮肤神经系统-皮肤免疫细胞的复杂过程。在内在和外在因素的共同作用下,皮肤屏障功能受损,引起感觉神经传入信号增加,导致皮肤对外界刺激的反应性增强,引发皮肤免疫炎症反应。
Three
基于2D细胞的舒缓功效体外评价方法
01
基于神经元细胞
神经细胞在受到刺激时,膜电位会在原本的静息电位基础上转为可扩布的电位变化过程,这个过程被称为动作电位,动作电位的变化是神经反应的主要体现,峰电位是动作电位的主要组成成分,因此通常意义上的动作电位往往指峰电位。
通过检测膜电位变化可以评价待测物对神经元动作电位的影响,从而评价待测物的舒缓功效。
02
基于角质形成细胞
角质形成细胞表面会表达一些能够感觉到温度、疼痛等的受体如TRP类,最典型的TRP类受体包括辣椒素受体(TRPV1),外界或内源性刺激都会激活TRPV1,从而引起Ca2+内流,导致皮肤渗透性增加,产生刺痛、烧灼的感觉。同时TRPV1还会促进释放包括P物质在内的神经源性炎症因子,进一步诱导炎症因子的分子,导致局部毛细血管扩张。
因此我们可以通过检测TRPV1表达量、钙离子含量的变化和炎症因子,来评价待测物的舒缓功效。以TRPV1为例:

图2 TRPV1含量检测
如图,绿色荧光代表TRPV1,颜色越深代表含量越高。从图中可以看出,样品组的TRPV1的含量显著降低,即可说明样品具有舒缓功效。
03
基于肥大细胞
肥大细胞在过敏反应尤其是Ⅰ型过敏反应的发生中有着非常重要的地位——抗体与肥大细胞结合后,肥大细胞脱颗粒释放组胺,从而产生刺激,导致血管通透性增强、毛细血管扩张等表观现象。
肥大细胞受到刺激后会以胞吐形式将细胞内的颗粒释放到细胞外,在细胞膜周围可明显看到。
通过脱颗粒细胞数的占比可以评价样品抑制肥大细胞脱颗粒的作用,样品组的脱颗粒细胞数目明显下降,即可说明样品的舒缓功效。
04
基于巨噬细胞
脂多糖(LPS)是革兰氏阴性细菌细胞壁外壁的组成成分,它会刺激炎症介质如TNF-α、PGE2和COX2等的分泌。我们可以利用LPS刺激巨噬细胞造模,来评估样品的舒缓功效。

图3 PGE2和COX2含量检测
如图,样品组能够显著降低PGE2和COX2的表达,即可说明样品有舒缓功效。
Four
基于3D表皮模型的舒缓功效体外评价方法
我们同样也可以利用3D皮肤模型,通过UVB刺激或SLS刺激Epikutis表皮模型造模,来评估样品的舒缓功效。
以SLS刺激为例,以地塞米松为阳性对照,通过模拟皮肤受到化学刺激时的状态,检测组织活力、模型形态学变化和炎症因子的表达量,来评估活性物的抗炎功效。
以这两者为例:
01
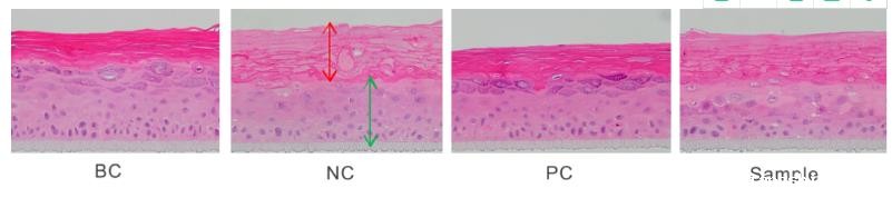
组织形态

图4 组织形态检测
经过SLS刺激后的皮肤模型角质层分布变得疏松(图中红色箭头部分),同时活细胞层数减少(绿色箭头部分),而样品组的角质层疏松程度明显改善,对活细胞层数也有一定的改善作用,即可说明样品具有一定的舒缓功效。
02
炎症介质和炎症因子
在3D表皮模型Epikutis上,还可以通过检测炎症介质和因子来评价样品的舒缓功效。

图5 欧莱雅零点霜舒缓功效评估(图源基础颜究公众号)
如图,样品组的各类炎症因子分泌量均显著减少,样品具有舒缓功效。
前期巨大的研发成本和可合作权威皮肤科医生等资源的稀缺,使得舒缓功效的护肤品未来短时间不会达到饱和,而人们对护肤的愈发重视,会让舒缓功效护肤品功效迎来巨大的增长。
功效评价是功效宣称的不二法门,功效为功能性护肤品立身之本,化妆品新规的颁布和施行,为所有化妆品行业从业人员化妆品备案流程带来了挑战,同样也带来了机遇。